ZNA Chooses Mindpeak PD-L1
- ZNA Chooses Mindpeak PD-L1
- BENELUX first: ZNA and GZA Hospitals use smart software for cancer diagnosis
- Artificial intelligence provides faster and more accurate assessment of millions of tumor cells
As the first in Belgium, the tissue examination laboratory (pathology) of Ziekenhuis Netwerk Antwerpen (ZNA) and GZA Hospitals uses artificial intelligence (AI) in the fight against cancer. Smart software supports pathologists in diagnosing millions of tumor cells. This involves examinations of tumor type and whether the tumor is sensitive to certain therapies.
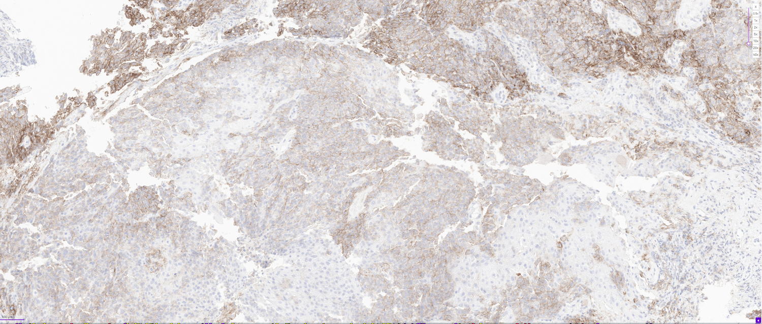
The AI software analyzes tissue samples and guides the pathologist to parts that may require additional examination. The software can determine growth patterns of the tumor or and can provide a more accurate count of cancer cells. In the past, this assessment was done by the doctors themselves. The improved analyses allow the doctor to substantiate the diagnosis more quickly and with better evidence. However, the pathologist remains at the wheel of the diagnosis. For the diagnosis of breast and prostate tumors, ZNA and GZA Hospitals use the smart software from Israel’s Ibex Medical. To determine whether tumors in the lungs and other tissues are sensitive to immunotherapy, the lab works with AI software for PD-L1 scoring from Germany’s Mindpeak.
Pathologist gets extra pair of digital eyes
The computer and the smart algorithm give the pathologist (= the specialist who examines tissues and cells, such as tumors) an extra pair of digital eyes, so to speak.
Breast and prostate tumours: calculating proportion of affected cells and marking prominent areas
For breast and prostate tumors, a powerful computer with Ibex’s smart software goes to work on scanned images of the tumor. The software calculates the proportion of affected cells and also marks certain areas that may require additional testing. In this way, the software guides the physician to areas of interest with well-defined characteristics. These include, for example, cells that grow abnormally or react to antibodies (*). The pathologist assesses those areas and then determines whether the tumor is malignant or not.
(*) An antibody is a protein produced by the body’s immune system to fight off pathogens. In the context of cancer, they are used to demonstrate specific proteins that may or may not be specific to certain tumor cells. Demonstrating the presence or absence of these proteins helps the pathologist determine tumor type or predict response to certain therapies.
Estimating success of immunotherapy
In turn, the algorithm of the German company Mindpeak is suitable, for example, for the analysis of all tumors in which immunotherapy (**) can make a difference. A tissue sample from a tumor counts millions of cells. The human eye obviously cannot count them, but the smart software can. The software helps calculate the number of cells that are sensitive to certain drugs. This allows the doctor to estimate whether the patient will benefit from a specific therapy.
(**) In this therapy, the cancer patient is given medication to strengthen the functioning of the immune system. This causes the immune system to recognize, clear and destroy the cancer cells. Originally, immunotherapy was used in certain types of lung cancer (non-small cell lung carcinoma). Since then, immunotherapy has become more important in the treatment of tumors in the breast, esophagus, stomach, head and neck region, urinary tract and male sex organs (urogenital tumors).
“Much faster and more precise counting of millions of cells”
The smart software makes assessment faster and more precise. It also reduces the chances of microscopic abnormalities being overlooked.
Pathologist Sabine Declercq, medical coordinator of the Pathological Anatomy Laboratory, explains the three major advantages:
- “The combination of artificial intelligence with the experience of the pathologist provides more precise diagnoses. This is because the software analyzes images in exactly the same way every time.
- In addition, we arrive at a diagnosis more quickly. A computer never tires and does not have the limitations that a human does, such as the need for rest. Because the software can work around the clock, pathologists have more time to examine and diagnose more complex tumors.
- The third benefit of this smart software is that ZNA and GZA Hospitals can now perform certain tests in their own lab. As a result, the samples no longer need to go to an external lab. This means the patient knows where he or she stands faster, and cancer specialists can start the most appropriate therapy sooner. In practice, this can save a patient up to a week of time.”
Importantly, the pathologist remains at the wheel of the diagnosis. The software supports that.
15,000 samples a year
The anatome pathology lab of ZNA and GZA Hospitals is aiming for 1150 samples a year in the start-up phase and wants to increase that to 15,000 samples a year by 2024. These are mainly samples of tumours in the stomach, breast, prostate and lungs.
Importantly, the pathologist remains at the wheel of diagnosis. The software supports this.
Software suitable for most common tumors
The smart software used by the lab at both hospitals is most suitable for diagnosing breast, prostate and lung tumors. These are the most common tumors in our country.
Men are most often affected by prostate, lung and colon cancer. For women, it is breast, colon and lung cancer. Cancer primarily affects older people. About one in three men and one in four women will face the disease before their 75th birthday.
In Belgium, cancer is one of the leading causes of death. Just over a quarter (25.5%) of the 109 000 deaths in 2019 were caused by a tumor. With an aging population and causes related to lifestyle and the environment, this will only increase.
What is artificial intelligence?
In artificial intelligence, software exhibits human-like skills and behaviors such as reasoning, learning, planning and creativity. In medical science, artificial intelligence is primarily used for learning and drawing conclusions from complex medical data. This may include, for example, a comprehensive table of symptoms.
The AI software used by the pathology lab at ZNA and GZA Hospitals analyzes scanned images of microscopic tissue cuts and learns from them. It receives data (= images), processes it (= calculates how many cells deviate) and reports the results. The pathologist then evaluates the results for accuracy in order to then use them in making the diagnosis.
The smart software used by ZNA and GZA Hospitals for tumor analysis has been approved for the European market. It is not a startup or pilot project.

Tom Van de Vreken
Woordvoerder, Ziekenhuis Netwerk Antwerpen
tom.vandevreken@zna.be
+32 475 964 181 (alleen voor journalisten)
www.zna.be
@ZNAwoordvoerder
SOURCE: ZNA




%20PD-L1_No_AI.png)




































