Join Aiforia for a webinar on AI predicting patient outcomes in ovarian cancer
Webinar topic: Can AI predict patient outcomes in ovarian cancer?
Date: Tuesday, September 16, 2025
Time: 2-3 pm CEST | 8-9 am EDT
Register to join live or to get the recording after the webinar
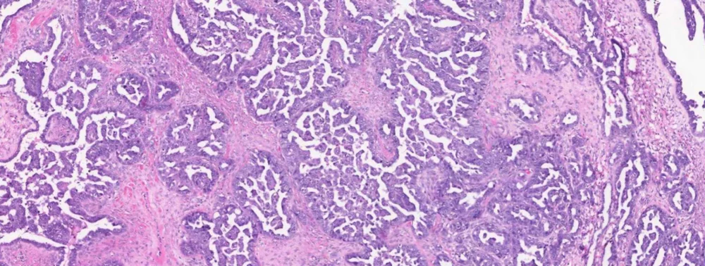
Experimental image-based AI models are very good at extracting new information from standard H&E pathology slides. However, the biological interpretation of these novel findings is a challenge. In this webinar, Dr. Anna Laury, Clinical Researcher at the University of Helsinki, will explain how they used scanned H&E slides of high-grade serous carcinoma of the tube/ovary (HGSC) together with spatially resolved transcriptomics to explore whether AI findings actually represent biological differences in these tumors.
High-grade serous carcinoma of the tube/ovary (HGSC) is characterized by aggressive behavior, chemotherapy resistance, and low 5-year survival, but also exhibits striking variability in outcome. Our understanding of this disease is limited, partly due to considerable tumor heterogeneity, and predicting any individual patient’s response to therapy is challenging.
Dr. Laury’s team used Aiforia® Create to train an AI model to predict patient outcome in HGSC by identifying tumor regions that are highly associated with outcome status. The tumor regions identified by the AI model are currently indistinguishable by pathologists. They then used spatially resolved transcriptomics to profile these AI-identified tumor regions and identify molecular features related to disease outcome.
Register for the webinar to hear more about this proof-of-concept study, which shows that AI-guided spatial transcriptomic analysis improves recognition of biologic features relevant to patient outcomes.
Speakers
Anna Laury, MD, PhD
Clinical Researcher at the University of Helsinki
Dr. Laury is a clinical researcher at the University of Helsinki. She received her medical degree from the University of California, Los Angeles and pathology training at Brigham & Women’s Hospital. Her clinical interests include women’s and perinatal pathology, and her research is currently focused on the development and progression of tubo-ovarian serous carcinoma.
Darshan Kumar, PhD
Director of the Global FAS team at Aiforia Technologies
Darshan Kumar has worked at Aiforia for over four years as a Customer Success Manager and Scientist. He currently leads the global team of Field Application Scientists. He did his PhD research in cell and molecular biology at the University of Helsinki and has a master’s in Biomedical Sciences from Leiden University.
Register to join live or to get the recording after the webinar
SOURCE: Aiforia
































